Post Image

Cuando acudir a un Otorrinolaringologo?

Image

Si presentas síntomas de congestión y obstrucción nasal. Rinorrea o mucosidad, halitosis nasal o mal olor, voz nasal, prurito y estornudos frecuente, ardor y resequedad nasal, perdida o disminución del olfato o presentas enfermedades como rinitis alérgica o no alérgica, rinosinusitis, pólipos nasales, desviación septal, rinopatia obstructiva o hipertrofia de cornetes.
¡SI TE IDENTIFICA ES HORA DE VISITARNOS.!

Image

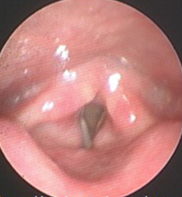
Si tienes síntomas de goteo nasal posterior, dolor de garganta, ardor en la boca, lesiones en mucosa oral dolorosas y rojizas, lesiones verrugosas en boca no dolorosas, amígdalas con exudado, peloticas amarillas o blancas en las criptas de las amigdalas, puntos tipo frambuesa en paladar, frenillo debajo de la lengua, ronquidos nocturnos respiración oral, regurgitación de ácidos en faringe, halitosis o mal aliento, o presentas faringitis, amigdalitis, caseum de amigdalas, aftas bucales, estomatitis, frenillo sublingual.
¡SI TIENES ESTOS SÍNTOMAS AGENDA TU CITA!

Image

Las afecciones de el área laríngea generalmente se expresa en alteraciones de la voz, deglución, ronqueras o disfonía, afonía, sensación de cuerpo extraño o globo faríngeo, dificultad para respirar en procesos inflamatorios o alérgicos, estridor laríngeo en niños, disfagia o dificultar para el paso de los alimentos.
¡SI ES ASI PROCURA SER EVALUADO POR UN ESPECIALISTA!

Image

Síntomas como otalgia o dolor de oído, secreción u otorrea, cuerpo extraño, sensación de vértigo, acufenos o pitos, oídos tapados, perdida auditiva, o enfermedades como otitis, síndrome vertiginoso, tinnitus, sindrome de Meniere, otitis media crónica, perforación timpánica, hipoacusia entre otras.
¡TE ESPERA UNA EVALUACION POR OTORRINO!